
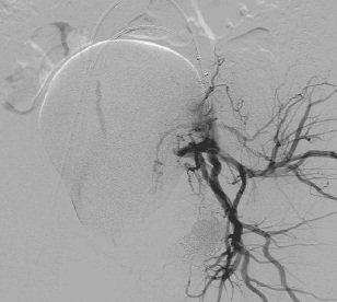
女性盆腔血管分布图

女性盆腔血管分布图
女性盆腔血管分布主要:是膀胱、生殖器官和直肠、是植物神经功能紊乱、事站立工作、子宫后位、长期便秘、早婚早育、孕产频繁的人,以及患有盆腔炎、附件炎、子宫内膜炎等炎症时,静脉血流量增多,盆腔静脉压力增高,影响静脉回流,也容易导致充血。 一般女性在性兴奋时,大量血液涌入盆腔组织,形成充血状态。如果未能达到性高潮,则盆腔充血状态消退很缓慢,会出现下腹坠胀、酸痛等不适。

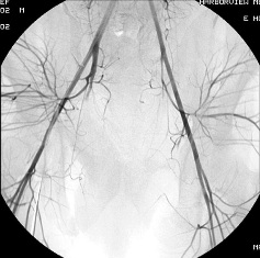
女性盆腔血管分布图

女性盆腔血管分布图
女性盆腔血管分布主要:是膀胱、生殖器官和直肠、是植物神经功能紊乱、事站立工作、子宫后位、长期便秘、早婚早育、孕产频繁的人,以及患有盆腔炎、附件炎、子宫内膜炎等炎症时,静脉血流量增多,盆腔静脉压力增高,影响静脉回流,也容易导致充血。 一般女性在性兴奋时,大量血液涌入盆腔组织,形成充血状态。如果未能达到性高潮,则盆腔充血状态消退很缓慢,会出现下腹坠胀、酸痛等不适。