
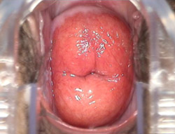
三度重度宫颈糜烂图片
根据病变程度的不同,宫颈糜烂的外表特征也有很大差异。临床工作中常将宫颈表面柱状上皮生长缓慢,仅为较正常的单层柱状上皮覆盖,外观平坦,表面潮红、光滑的这一类型称为单纯型糜烂。如柱状上皮生长速度快,并向间质生长,形成腺体增生、扩张,肉眼观表面呈细小颗粒状,称为颗粒状糜烂,或滤泡型糜烂。如间质增生明显,宫颈表面形成许多小的突起或沟回,肉眼观表面高低不平,此种宫颈糜烂图片所示称为乳头状糜烂

三度重度宫颈糜烂图片
根据病变程度的不同,宫颈糜烂的外表特征也有很大差异。临床工作中常将宫颈表面柱状上皮生长缓慢,仅为较正常的单层柱状上皮覆盖,外观平坦,表面潮红、光滑的这一类型称为单纯型糜烂。如柱状上皮生长速度快,并向间质生长,形成腺体增生、扩张,肉眼观表面呈细小颗粒状,称为颗粒状糜烂,或滤泡型糜烂。如间质增生明显,宫颈表面形成许多小的突起或沟回,肉眼观表面高低不平,此种宫颈糜烂图片所示称为乳头状糜烂