早孕试纸最早什么时候用最准确?其实早孕测试时间经过以上专家分析,可以简单计算出最佳的早早孕测试时间是精子卵子相遇后:24小时+7+10=18天.但是,如果购买的试纸如果存放时间过长,或试纸受[详情]
解除意外怀孕的最佳方式是什么啊?成都九龙医院所采用的是目前国际上最为领先的[详情]
女性意外怀孕后有哪些症状表现?妇科专家指出,女性怀孕后会有以下表现症状:停经/乳房增大/呕吐乏力/体温增高/尿频等,详细内容请见一下内容:[详情]
对什么时候可以查早孕这个问题,妇科专家说,女性朋友最好是在月经推迟超过7天以后再查,因为女性朋友的月经推迟7天是正常的,所以女性朋友应在月经推迟至少7天后才可以查。怀孕的检查[详情]
月经没来,是不是怀孕了?很多女性心里都有这样的担忧。这时候,大多数女性都会条件反射性的买早孕试纸来检测。可是,多数女性对于早孕试纸什么时候测最准确并不清楚。[详情]
早孕检查项目有什么?对于怀孕的女性来说,早孕检查极为重要,如果发现有不能继续妊娠的原因应及时到医院进行人流手术终止妊娠。那么,女性怀孕后有哪些检查项目呢?[详情]
1、停经:这是早孕后最主要的症状表现。如月经一直很规律,一旦到期不赖,超过10天以上,应该考虑到怀孕的可能性。这是怀孕的最早信号,过期时间越长,早早孕的可能性就越大。[详情]
早早孕的表现是什么不好确切的回答,因为早早孕的表现是因人而异的,月经周期正常的女性,一但同房后月经过期10天以上,应疑为妊娠,妊娠早期从受精卵的发育到胚胎种植,胎盘的形成分[详情]
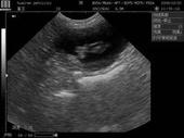
患者病情描述:我上个月与老公同房,事后发现避孕套破了,又吃了事后紧急避孕药,但是昨天我用试纸测试怀孕了,我现在想做B超确认一下,请问医生,怀孕多久做b超可以检查出来?这个孩[详情]
什么是异位妊娠?很多人不知道异位妊娠是什么意思,但是只要说宫外孕大家都明白了。凡孕卵在子宫腔以外的任何部位着床者,统称为异位妊娠,习称为宫外孕。那么,异位妊娠是由哪些病[详情]