问:我是一名宫颈糜烂患者,到好多医院都去看过宫颈糜烂病,但效果都不是很佳,医生说是得了中度宫颈糜烂,我想看一下这方面的图片!
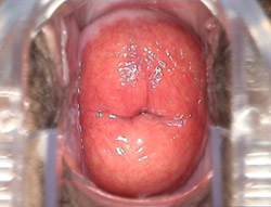
答:宫颈糜烂一般分为:轻度宫颈糜烂,中度宫颈糜烂,重度宫颈糜烂
宫颈糜烂
中度宫颈糜烂
重度宫颈糜烂