搜索
网站首页
妇科炎症
宫颈疾病
生殖整形
无痛人流
生殖感染
子宫疾病
卵巢疾病
内分泌病
乳腺疾病
女性怀孕
女性不孕
专题疾病
健康常识
安全避孕
妇科检查
治疗偏方
微创技术
帕金森症
美尼尔症
其它疾病
健康图库
健康体检
医院名录
当前位置:
主页
>
生殖感染
>
梅毒
>
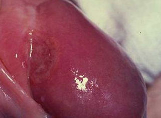
女性梅毒症状图片大全
发布时间:2012-12-09 点击:
女性梅毒症状图片大全一
女性梅毒症状图片大全二
女性梅毒症状图片大全三
上一篇:
梅毒疹会皮肤出血的症状吗?
下一篇:
女性梅毒用什么药治疗?
相关疾病图片
怀孕六个月男胎儿图
男人的精子图(精子图片
精子穿入卵子图片
腰间盘突出症状详细图
脑肿瘤mri波谱图片(脑肿
女性液体避孕套图片图解
完好的子宫颈图片
四维彩超胎儿图片
多囊卵巢综合症实物图片
达英35多囊卵巢怀孕图片
随机阅读
•
梅毒疹会皮肤出血的症状吗?
•
感染梅毒有哪些检测方法?
•
婚检梅毒检查的重要性
•
怎么判断自己是不是得了梅毒
•
准确诊断梅毒需要进行哪些检
•
梅毒的传播有哪几种呢?
•
梅毒的传播途径以性传播为主
•
梅毒的传播途径主要包括5种
•
梅毒的传播途径有哪些?
•
梅毒非性接触传播
•
梅毒的流行传播
•
如何检验胎儿是否感染梅毒
•
梅毒有什么样的传播方式呢?
•
如何判断梅毒痊愈了
热点文章
•
女性梅毒症状图片大全
•
梅毒图片-梅毒道图(梅毒图)
•
梅毒的早期症状图片
•
什么是斑疹性梅毒疹?
•
梅毒的症状是什么
•
什么一期梅毒:一期梅毒病症
•
早期梅毒的症状是什么
•
梅毒如何治疗>梅毒检测方法-梅毒
•
生了梅毒病梅毒疹会痒吗?
•
你知道梅毒是怎样被传染上的
•
什么是梅毒-梅毒常识网
•
什么二期梅毒:二期梅毒症状
友情链接:
网易
四川现代医院
中国网
四川网
Copyright2003 健康多一点ICP备案号:蜀ICP备2024098594号